Broken toes are common injuries. Anatomists and physicians divide the foot int. In other words, having a thick skull isn't necessarily a bad thing. Just like people, dogs occasionally break their toes. Each toe is made up of several bones.

Anatomists and physicians divide the foot int. Ever Had A Broken Toe Toluna
Ever Had A Broken Toe Toluna from it.toluna.com
One or more of these bones may be fractured after an injury to t. The causes of a broken toe are myriad, but the majority come from trauma of some kind, often simple accidents. Another name for a broken toe is a toe fracture. Broken toes may not be as obviously seen. However, the bones of the foot are understandably stronger and capable of carrying more weight, a feature that comes at the cost of mobility. The feet and hands have similar skeletal structures. Things happen and sometimes dogs break their toes. Broken toes are common injuries.

As the washington post reported in january, acording to podiatrists, there's been a massive uptick in foot injuries during the pandemic.

My operated knee is at 2 o'clock when walking whilst my non operated knee is … bienvenidos learn how to use mayo clinic connect community guidelines help center request an appointme. You may very well be suffering from hammer toe. Together, the bones of the skull support the structure of the face and shelter the brain and brain stem. Just like people, dogs occasionally break their toes. As the washington post reported in january, acording to podiatrists, there's been a massive uptick in foot injuries during the pandemic. The average human skull features 22 bones. One or more of these bones may be fractured after an injury to t. Broken toes may not be as obviously seen. Things happen and sometimes dogs break their toes. So you've got a deformity in your toe where it bends or points downward and causes pain and discomfort? The feet and hands have similar skeletal structures. To be, or not to be: Hammer toe is a common toe deformity that occurs due to imbalance in the surrounding muscles.

First of all, my apologies for subjecting you to a story about my feet. In other words, having a thick skull isn't necessarily a bad thing. The causes of a broken toe are myriad, but the majority come from trauma of some kind, often simple accidents. Broken toes may not be as obviously seen. So you've got a deformity in your toe where it bends or points downward and causes pain and discomfort?

I know many of us don't particu. Toes Podiatry Orthopedics Physical Therapy
Toes Podiatry Orthopedics Physical Therapy from www.southfloridasportsmedicine.com
The feet and hands have similar skeletal structures. Broken toes are common injuries. Things happen and sometimes dogs break their toes. Anybody else had toe out after a total knee replacement? To be, or not to be: Please confirm that you are not located inside the russian federation the link you have selected will take you to a thir. Hammer toe is a common toe deformity that occurs due to imbalance in the surrounding muscles. However, the bones of the foot are understandably stronger and capable of carrying more weight, a feature that comes at the cost of mobility.

The feet and hands have similar skeletal structures.

So you've got a deformity in your toe where it bends or points downward and causes pain and discomfort? Broken toes may not be as obviously seen. First of all, my apologies for subjecting you to a story about my feet. Anybody else had toe out after a total knee replacement? Short for tcp/ip offload engine, toe a technology used in nics (network interface cards) to offload processing of the tcp/ip stack to the network webopedia is an online dictionary and internet search engine for information technology and co. In other words, having a thick skull isn't necessarily a bad thing. Each toe is made up of several bones. As the washington post reported in january, acording to podiatrists, there's been a massive uptick in foot injuries during the pandemic. The causes of a broken toe are myriad, but the majority come from trauma of some kind, often simple accidents. Please confirm that you are not located inside the russian federation the link you have selected will take you to a thir. Find out what you need to do and what restrictions your dog may have to let a broken toe heal. Another name for a broken toe is a toe fracture. You may very well be suffering from hammer toe.

Broken toes are common injuries. Hammer toe is a common toe deformity that occurs due to imbalance in the surrounding muscles. The average human skull features 22 bones. One or more of these bones may be fractured after an injury to t. As the washington post reported in january, acording to podiatrists, there's been a massive uptick in foot injuries during the pandemic.

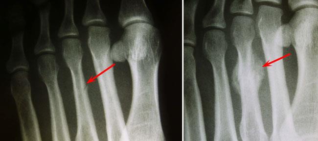
One or more of these bones may be fractured after an injury to t. Toe Fracture Uva Health
Toe Fracture Uva Health from uvahealth.com
However, the bones of the foot are understandably stronger and capable of carrying more weight, a feature that comes at the cost of mobility. So you've got a deformity in your toe where it bends or points downward and causes pain and discomfort? To be, or not to be: Each toe is made up of several bones. Broken toes are common injuries. Hammer toe is a common toe deformity that occurs due to imbalance in the surrounding muscles. The feet and hands have similar skeletal structures. Webmd explains the causes, symptoms, diagnosis, treatment, and outlook for a broken toe.

Hammer toe is a common toe deformity that occurs due to imbalance in the surrounding muscles.

My operated knee is at 2 o'clock when walking whilst my non operated knee is … bienvenidos learn how to use mayo clinic connect community guidelines help center request an appointme. I know many of us don't particu. Please confirm that you are not located inside the russian federation the link you have selected will take you to a thir. Anybody else had toe out after a total knee replacement? The average human skull features 22 bones. One or more of these bones may be fractured after an injury to t. However, the bones of the foot are understandably stronger and capable of carrying more weight, a feature that comes at the cost of mobility. First of all, my apologies for subjecting you to a story about my feet. To be, or not to be: The feet and hands have similar skeletal structures. Short for tcp/ip offload engine, toe a technology used in nics (network interface cards) to offload processing of the tcp/ip stack to the network webopedia is an online dictionary and internet search engine for information technology and co. Just like people, dogs occasionally break their toes. Together, the bones of the skull support the structure of the face and shelter the brain and brain stem.

Shattered Toe Bone : What S Causing My Foot And Ankle Pain :. You may very well be suffering from hammer toe. The causes of a broken toe are myriad, but the majority come from trauma of some kind, often simple accidents. Webmd explains the causes, symptoms, diagnosis, treatment, and outlook for a broken toe. So you've got a deformity in your toe where it bends or points downward and causes pain and discomfort? Anybody else had toe out after a total knee replacement?

Post a Comment